Schlaganfallfrüherkennung

Der Schlaganfall ist nach Erkrankungen des Herz-Kreislaufsystems und Tumorerkrankungen die dritthäufigste Todesursache. Bei einem Schlaganfall handelt es sich um eine plötzliche Durchblutungsstörung im Gehirn. Unter anderem können Ablagerungen an den Gefäßwänden und entzündliche Prozesse zur Einengungen der Arterien führen. Dadurch wird die Sauerstoffversorgung verhindert oder ganz unterbrochen und die Hirnzellen sterben ab. Ohne unverzügliche ärztliche Hilfe können sich die Symptome (z.B. Lähmungen, Sprach- und Sehstörungen) verschlimmern oder sogar der Tod eintreten. Es leben ca. 1 Millionen Menschen mit den oft verbleibenden schweren Folgen eines Schlaganfalles.

Jetzt Termin zur Schlaganfallfrüherkennung vereinbaren

Flyer

Persönliche Risikofaktoren:

Bewegungsmangel

Übergewicht

Bluthochdruck

Zuckerkrankheit / Diabetes mellitus

Rauchen

Alkoholkonsum

aber auch:

männliches Geschlecht

zunehmendes Alter

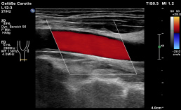
Mit einem hochmodernen, hochauflösenden Ultraschall werden die Halsschlagadern (A. Carotis) untersucht und somit schon Jahre vor einem möglichen Schlaganfall krankhafte Veränderungen festgestellt. Die Ablagerungen in den Schlagadern (Arteriosklerose) zeigen sich anfangs durch die Verdickung der inneren Gefäßwandschicht (Intima-Media-Dicke). Die Messung der Intima-Media-Dicke ist schnell, einfach und schmerzfrei.

Diese Vorsorgeuntersuchung ist nicht im Leistungskatalog der gesetzlichen Krankenversicherung enthalten!

Arterielle Gefäßdarstellung mittels MRT
Die Magnetresonanztomographie (MRT) liefert ebenso exakte Bilder wie eine herkömmliche Gefäßdarstellung. Vorteil der MRT Angiographie ist, dass kein Eingriff in den Körper über einen Katheter notwendig ist. So können durch zuverlässige Diagnosen rechtzeitig Maßnahmen ergriffen werden.

Untersuchung der Halsschlagadern (A. Carotis)
Untersuchung der Halsschlagadern (A. Carotis)
Messung der Intima-Media-Dicke (Gefäßwandschicht) der Halsschlagadern (A. Carotis)

Ein Schlaganfall ist keine Frage des Alters!

Lassen Sie mittels Ultraschall Ihr persönliches Schlaganfallrisiko ermitteln!

Termin online buchen Anrufen

Weitere Informationen

Flyer Schlaganfallfrüherkennung >
Informieren Sie sich auch unter www.schlaganfall-hilfe.de
Informieren Sie sich auch unter www.schlaganfall-info.de